|
 |
インプラント治療と簡単な矯正治療を行なった治療例1 |
|
|
|
|
|
■上顎に入っているレジン(合成樹脂)前装冠及び金属冠は二次齲蝕になっており、
また、歯根の治療も不完全である。歯周病にも罹患している。 |
|
| ■下顎の右側は歯が欠損しており、左側の小臼歯は根尖に大きな病巣があり、
大臼歯は近心(前側)傾斜しており、前歯にも齲蝕が認められる。歯周病にも罹患している。 |
|
| ■インプラント手術と同時に頬側(外側)の骨が少ないため人工骨補填剤と特殊な膜を用いて
骨造成(GBR)を行った。 |
|
| ■3ヶ月後、インプラントが下顎骨と結合し頬側(外側)の骨の造成もみられる。 |
|
| ※インプラント手術費用は1本当り190,000円(税込)です
※骨造成(GBR)手術費用は60,000円(税込)です |
|
| ■下顎左側の小矯正治療。 左側第一大臼歯が傾斜しているため、ブリッジで治療する時に
咬む力が正しく伝わらないので、簡単な矯正を行って傾斜した歯をまっすぐに起こす。 |
|
| ■4ヶ月後、傾斜していた大臼歯は本来の歯軸方向に矯正された。 |
| |
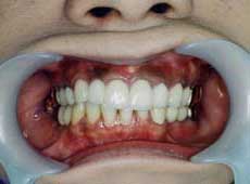
■治療後のレントゲン写真および口腔内写真
右側上顎第二切歯と左側下顎第一小臼歯は予後不良のため抜歯をして、審美的にも良いポーセレメタルボンドを主体として治療をした。また、歯周病と下顎前歯の齲蝕治療も並行して行った。 術後18年経過しているが、特に異常という症状は見られず順調に経過しています。(2022年2月現在、インプラント術後18年経過) |
|
|
|